Crean en laboratorio un ratón que no le tiene miedo a los gatos
La India prueba misil con capacidad nuclear en el este del país
El nuevo S-80 permite a Navantia construir los submarinos en serie
Nuevo material superoleofóbico
Ya es posible fabricar huesos humanos
Brasil anuncia nuevos descubrimientos de gas y petróleo costa afuera
Micropartículas a medida
Naturaleza artificial
Descubierta una bacteria que produce nanotubos
Proyecto para producir biodiesel de agua
Una batería alemana revoluciona el coche eléctrico
Gobierno surcoreano extiende vida útil de primer reactor atómico
Luchó contra la adversidad y luego inventó el comando ortopédico
Lanzan en México guitarra robótica que se afina sola
Nanopartículas contra el cáncer, la dosis exacta en el lugar preciso
Rediseñan un termostato que lee 'bioseñales'
Crean bioplásticos a partir de bacteria
Un equipo del CSIC desarrolla un plástico para uso alimentario autodegradable
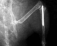
Elaboran cemento óseo mejorado
Cemex inaugura en Buñol el mayor horno de cemento blanco del mundo
Desarrollan nanopartículas dirigidas por control remoto para curar tumores
Nuevas técnicas para mantener un rover frío en Venus
Aparece el cepillo iónico, que no necesita dentífrico para la limpieza bucal
Simulación eléctrica del corazón para conocer consecuencias de isquemia
Diseñan técnica no invasiva que permite monitorizar el remodelado dela masa ósea
Japon usa tecnologÃa de vanguardia para proteger a los veteranos al volante
China busca en la Luna la fuente de energía del futuro
Un aficionado construye el telescopio más grande de España
Crean un robot dirigido por el cerebro de una polilla
Parche inteligente para medir el nivel de azúcar en diabéticos
La UE quiere potenciar aún más la inversión en nanotecnología
Con simulador de lluvias estudian proceso de erosión en la Universidad de Talca
La posidonia oceánica, materia prima para la fabricación de biocombustibles
Prueba la NASA nuevos trajes espaciales para misión a la Luna
Crean un material 'inteligente' para implantes óseos
La ciencia robótica busca inspiración en la naturaleza
Brasil quiere un submarino atómico para proteger su área petrolera marítima
La rebelión de las máquinas
La NASA probará en la Antártida la 'casa' de los astronautas en la Luna
Científicos británicos descubren cómo atrapar luz en un material transparente
Un joven austríaco lleva prótesis en los brazos dirigidas por su cerebro
Alerta por posible riesgo para la salud de la nanotecnología
Corea del Sur busca cooperación con Israel en tecnología espacial
Diseñan sistema para soportar 'calor venusino'
Dos investigaciones mejoran los generadores alimentados por vibraciones
INTA presenta una aeronave única que funciona con y sin piloto
El Laboratorio de Óptica de la UMU inventa una máquina que gradúa las cataratas
Gafas de subtitulado creadas por Universidad Carlos III, entre inventos del año
La percepción de los olores no es cultural, sino universal e innata
Brasil anuncia gran hallazgo petrolero
Desarrollan la primera glándula tiroides con células madre
Logran revivir bacterias que llevaban más de cien años dormidas
Descubren un tipo de ratón que puede regenerar sus propios tejidos dañados
Científicos valencianos logran producir geranios sin polen
Físicos guardan cortometraje en una nube de gas
Una nueva técnica permite ver el interior de las nanopartículas en 3D
Crean una pared y una linterna mágica para ver en 3D el interior del cuerpo humano
Desarrollan un láser diez veces más pequeño que una mota de polvo
Desarrollan un modelo de navegación y anticolisión aérea automáticas
Expertos recomiendan a la NASA que se centre en 16 tecnologías
Chile utilizará aviones no tripulados para monitorear volcanes
El nuevo 787 Dreamliner de Boeing realiza su primer vuelo comercial
Detener infecciones por hongos permitiría alimentar a millones de personas
Cruce natural ancestral aumenta producción de trigo en Australia
El fréjol es de origen mexicano y no peruano-ecuatoriano, según investigadores
Retrasar la maduración de la planta del tomate aumenta su rendimiento
Identifican bacterias marinas que degradan compuestos en vertidos de petróleo
Beber la misma agua mil veces, y más
Volkswagen será más verde
Crean un método pionero para detectar toxinas marinas
BMW innova en el tema de iluminación con diodos láser
Crean un auto para invidentes
Nueva tecnologÃa permite conducir un coche mientras se lee un libro
BMW presenta EfficientDynamics, la versión más ecológica del 320d
Desarrollan un panel de biomarcadores para diagnosticar el cáncer de colon
El ojo biónico que funciona con energía solar
El trasplante de fotorreceptores restaura la visión en ratones
Ropa 'inteligente' ayudaría a diagnosticar el estado de salud
Primera gran necrópolis vertical de América se construirá en Quito
Un aeropuerto en la mitad del Atlántico sería la conexión británica a Malvinas
Revelan plan para crear réplica del Cristo Redentor en Londres
Colombia inaugura sorprendentes escaleras eléctricas al aire libre
Los soldados podrán manejar armas con la mente
Ingenieros de EEUU crean balas autoguiadas por láser
Lo más increíble en tecnología de seguridad para EU
Tecnología ayuda a trabajadores y soldados en Irak
Avance hacia la superconductividad en un material ferromagnético
Crean un nuevo material casi insumergible
Descubren un nuevo material que servirá para sensores de movimiento
Crean un sensor de campo magnético usando pintura plástica
China espera reducir el tráfico con buses que van por encima de los autos
Las bicicletas se extinguen en China, según un experto estadounidense
Invertirán 3.000 millones dólares en túnel que conectará Chile y Argentina
El propuesto canal de Nicaragua es inviable económicamente por el impacto ambiental, dice un experto
Memorias más amplias y eficientes gracias a la espintrónica
Nuevo material permite multiplicar por 6 la capacidad de las memorias flash
Presentan primera alerta sísmica personal portátil
Investigadores argentinos, más cerca de obtener nanorelojes
Crean dispositivo para reducir coste y consumo energético de sistemas de telecomunicaciones
Inventan un dispositivo para disminuir tamaño de las antenas de telefonía
El sistema nervioso de la mosca mejorará el diseño de las redes inalámbricas
Android se convertirá en el sistema operativo más utilizado en 'smartphones'
Crean balón de fútbol que almacena energía y es portátil
Descubrimiento favorece a dispositivos termoeléctricos que recogen energía a partir de calor residual
Próximamente: las ventanas solares, más eficientes que los paneles
Turbinas voladoras que generan electricidad un 65% más barata
Un autodidacta inventa un acero más fuerte y que se produce más rápido
Descubren máquina de rayos X del siglo 19, como nueva
Apple se queda sin iones de litio para sus baterías
Graphenea pule un mineral más duro que el diamante
Carro volador se construye en EE. UU. y estará listo en 2009
El caracol abre nuevas posibilidades de propulsión acuática
Goodyear investiga con la NASA neumático que pueda pisar la Luna y Marte
Goodyear y la Nasa desarrollan neumático para la Luna
Submarino chino tripulado llegó a los 6.000 metros de profundidad
Empresa crea boyas inteligentes para análisis marinos
Presentan supertanque Post Panamax híbrido solar
Un Silicon Valley en el mar para mentes brillantes 'sin papeles'
Francia estrena reactor que disminuye residuos radiactivos
Nuevos materiales para reactores de fusión termonuclear
Dos robots dentro de planta nuclear de Fukushima encuentran alta radiación
Japón: alarma por hallazgo de plutonio en la planta de Fukushima
Utilizan fluorescencia para detectar petróleo en agua de mar
Hallaron otro importante yacimiento de gas en Brasil
Método de prospección basado en imágenes acústicas
Petrobras encuentra nuevo yacimiento de petróleo ligero en aguas atlánticas
Científicos planean atraer asteroides a la Tierra
La ESA desaconseja la geoingeniería en vista de la atmósfera de azufre de Venus
Científicos rusos desarrollan nubes artificiales para combatir incendios
Lluvias a pedido: descubren método para generar tormentas
Desvelan la estructura tridimensional de un compuesto inhibidor de proteínas
Descubren molécula natural de las plantas que baja la temperatura y limpia la atmósfera
Un equipo de científicos obtiene oxigeno a partir de agua y catalizadores de hierro
Científicos descubren cerca de 30 mil nuevos genes para producción de biocombustible
Argentina exhibe a 'Carpincho', el robot que trabaja en equipo
Humano y robot se saludan de mano en estación espacial
Desarrolan micro robot aéreo similar a murciélago
Robot industrial obtiene premio de diseño internacional
Científicos logran crear un auto de Fórmula 1 del tamaño de un grano de arena en apenas 4 minutos
Crean nanopartículas con bloques de construcción de ADN ópticamente activos
Desarrollan nanoantenas de grafeno y silicio
Las nanopartículas crean estructuras internas que pueden abrir nuevas aplicaciones en los fármacos